Kurzbeschreibung:
Das multiple Myelom gehört zu den lymphoproliferativen Syndromen vom B-Zelltyp. Pathogenetisch liegt eine maligne Proliferation von Plasmazellen im Knochenmark vor. Bei der seltenen Ausschwemmung von malignen Plasmazellen ins periphere Blut spricht man auch von Plasmazell-Leukämie. Die malignen Plasmazellen sezernieren meist ein monoklonales Immunglobulin oder Immunglobulin-Fragment (M-Protein, M=monoklonal), in der Regel vom IgG- oder IgA-Typ. Bei 10% der Fälle werden freie leichte Ketten mit dem Urin ausgeschieden (Bence-Jones-Proteine). Typischerweise kommt es zu umschriebenen und/oder diffusen Osteolysen. Das multiple Myelom macht rund 10-15% aller hämatologischen Malignome aus. Es tritt vorallem im Alter auf, kommt jedoch selten auch unter 40 Jahren vor.

Klinisches Bild:
Zwei Drittel der Patienten klagen über Knochenschmerzen, typischerweise im Rücken- und Brustbereich. In fortgeschrittenen Stadien kann es zu pathologischen Frakturen kommen. Die Verdrängung der Hämatopoiese im Knochenmark bewirkt Anämiesymptome und eine thrombozytopenie-bedingte Blutungsneigung. Eine Infektneigung ist primär durch eine Verminderung normaler Immunglobuline zu erklären. Ein Nierenversagen ist meist durch Ablagerung von leichten Ketten in den Tubuli bedingt. Als weitere Ursachen der Verschlechterung der Nierenfunktion kommen eine Hyperkalzämie bedingte Dehydratation und Amyloid in Frage.

Hämatologie:
Typisch ist eine stark erhöhte Senkungsreaktion. Im Ausstrich kann es zur Geldrollenbildung der Erythrozyten kommen. Meist liegt eine normochrome-normozytäre Anämie vor. Ausmass der Thrombozyto- und Neutropenie wiederspiegeln meist das Ausmass der Knochenmarkinfiltration. In seltenen Fällen kommt es zur Ausschwemmung von Plasmazellen ins periphere Blut. Man spricht dann von einer Plasmazell-Leukämie.

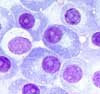
Knochenmark:
Die Knochenmarkuntersuchung ist zusammen mit der Eiweisselektrophorese (M-Gradient) und der Radiologie (Osteolysen) einer der Eckpfeiler zur Diagnose des Multiplen Myeloms. Eine Infiltration durch Plasmazellen von über 30% und eines der anderen Kriterien ist diagnostisch. Bei einer 10-30%igen Infiltration müssen alle drei Kriterien erfüllt sein.
Ab und zu findet man in den Plasmazellen runde Einschlüsse, die sogenannten Russel-bodies. Diese enthalten Gammaglobuline. Sie können auch bei reaktiven Prozessen mit intensiver Immunglobulinproduktion auftreten.
Flammende Plasmazellen sind ein seltenes Phänomen. Sie werden meist bei Multiplen Myelomen mit einer Paraproteinämie vom IgA-Typ beobachtet.


Inhaltsverzeichnis