Kurzbeschreibung:
Vitamin-B12 und Folsäure sind essentiel für die DNS-Synthese. Besteht ein Mangel dieser Nährstoffe, kann es zum Auftreten einer megaloblastären Anämie kommen. Da die RNS-Synthese nicht betroffen ist, kommt es zu einer Entwicklungsdiskrepanz zwischen Kern und Zytoplasma, d.h. einer verzögerten Kernreifung. Dies führt sowohl zu ineffektiver Erythropoiese (vorzeitiger Zelltod der erythropoietischen Zellen) als auch zur Ausschwemmung makrozytärer Erythrozyten mit verkürzter Überlebenszeit. Die Granulo- und Megakaryopoiese sind auch, wenn auch meist weniger ausgeprägt betroffen. Ursächlich kommen beim Vitamin-B12-Mangel ein Mangel an Intrinsic-Faktor bei atrophischer Gastritis (Anti-Parietalzell-Autoantikörper und Anti-Intrinsic-Faktor-Autoantikörper = perniziöse Anämie) oder nach Gastrektomie, eine Malabsorption sowie mangelhafte Zufuhr bei extrem vegetarischer Ernährung in Frage; beim Folsäure-Mangel in erster Linie ein erhöhter Bedarf (Schwangerschaft, Hämolyse), Malabsorption und folsäurearme Ernährung.

Klinisches Bild:
Es bestehen die typischen Symptome einer Anämie. Zudem können bei Vitamin-B12-Mangel eine schmerzhafte Glossitis und Mundwinkelrhagaden auftreten. Eine andere Manifestationsform des Vitamin-B12-Mangels ist die funikuläre Myelose. Sie führt auf Grund von Myelinisierungsstörungen zuerst der Hinterstränge und dann der Pyramidenbahnen im Rückenmark zu Gangataxie bei gestörter Tiefensensibilität.

Hämatologie:
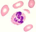
Das periphere Blutbild ist charakterisiert durch grosse, oft ovale Erythrozyten (Megalozyten) sowie hypersegmentierte Neutrophile. Zudem besteht oft neben der hyperchromen, makrozytären Anämie (MCV und MCH erhöht, MCHC normal) eine Leuko- und Thrombopenie. Eine leichte Hyperbilirubinämie und eine Erhöhung der LDH ist Ausdruck der intramedullären Hämolyse (ineffektive Erythropoiese). Die definitive Diagnose wird mittels Bestimmung des Serum-Vitamin B12, bzw. der Serum-Folsäure gestellt. Anschliessend muss die Ursache des Mangels eruiert werden.

Knochenmark:
Das Knochenmark bei der megaloblastären Anämie ist typischerweise hyperzellulär. Je nach Fall ist die Erythropoiese oder die Granulopoiese mehr betroffen. Die frühen Entwicklungsstufen überwiegen gegenüber den reiferen Stufen, welche vorzeitig zugrunde gehen. Charakteristisch ist die Diskrepanz zwischen Reifung von Kern und Zytoplasma, wobei der Kern in der Entwicklung zurückbleibt. Alle Zellen sind grösser als üblich und weisen eine aufgelockerte Kernstruktur auf. Die Kerne weisen oft auch Absprengungen auf oder befinden sich gehäuft in Mitose. Bei der Granulopoiese fallen grosse Metamyelozyten und stabkernige Neutrophile mit plumpen Kernen auf.
Eine Knochenmarkuntersuchung ist bei megaloblastärer Anämie nicht immer nötig, insbesondere wenn ein eindeutiger Vitamin B12-Mangel vorliegt.


Inhaltsverzeichnis